为什么大姨妈很久才来一次?
为什么结婚这么多年还没有怀孕?
为什么明明是女孩看起来却像男生?

原来是患了
多囊卵巢综合征


小珍今年29岁,结婚2年了,一直没怀孕。小两口倒没觉得什么,无奈家里老人催得急,夫妻俩到我院妇产科周爱枝医生门诊就诊。
没等小珍开口,周医生就问:你是来看月经不调的吧?“咦,现在医生都这么高明了,都会看相了?可我还戴着口罩呢!”小珍非常诧异。周医生笑了笑说“你还真说对了,有时候患者的面相真的有助于疾病诊断。好了,我们言归正传,详细说说你的就诊情况。”

听完小珍的病情陈述,周医生向小珍解释“你结婚2年未孕,而且近几年月经都不规律,周期2到4个月;最近一年你体重增加很快,比你先生都重了,身高只有160cm,BMI体重指数达到30,属于肥胖;虽然戴着口罩,仍能看到你脸上的痘痘。这些临床表现都指向一种内分泌代谢疾病——多囊卵巢综合征。当然,最后的确诊还有赖于辅助检查,抽血化验及超声等项目,等所有结果都出来后,我们再做最后的诊断。”小珍遵照医嘱去做相关检查,等结果出来后,赶紧来复诊。
周医生仔细查看了检查报告,果然与预想的一样,小珍确实得了多囊卵巢综合征。“周医生,我回去也上网查了,都说这个病得了就治不好,还不能怀孕。”小珍担心地问到。针对小珍的疑虑,周医生详细地解答了其关于多囊卵巢综合征的诸多问题。
什么是多囊卵巢综合征?
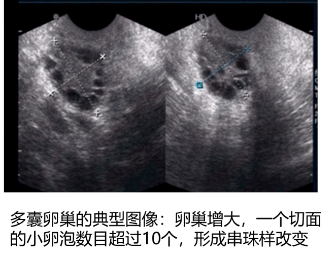
多囊卵巢综合征(PCOS)是临床常见的妇科内分泌代谢疾病之一。多见于育龄期女性。主要表现为月经稀发、闭经或不孕、多毛、痤疮,肥胖及糖代谢异常等,超声提示卵巢有多囊样改变等。

多囊卵巢综合征的病因是什么?
病因至今未明确,可能由某些遗传基因与环境因素相互作用所致。
哪些人群是患多囊卵巢综合征的高危人群?

家族中有糖尿病、肥胖、高血压、体毛过多的病史,以及女性亲属的月经异常、生育状况异常及患妇科肿瘤病史等的患者。
患了多囊卵巢综合征应该如何治疗?
●生活方式干预
包括饮食控制、体育锻炼。生活方式干预是所有PCOS女性的一线治疗方案,建议所有患者都应该控制饮食、锻炼和行为干预来减重,或者确保自己的体重不长。
●调整月经周期治疗
找专业的妇科医生调理月经,保证每月正常来一次月经。
●促孕治疗
有生育要求的,可以适时促排卵助孕治疗。
●其他治疗:
降雄激素治疗、胰岛素抵抗的治疗、并发症治疗(包括 子宫内膜增生病变的治疗、代谢综合症的治疗:对于已出现高血压、高脂血症、糖尿病的患者,建议同时内科就诊 )。

患了多囊卵巢综合征什么时候应该开始治疗?
一旦发现月经异常、体重突然增加、体毛较多等应该尽早到妇科就诊是否得了多囊卵巢综合征,一旦确诊立即开始治疗。
多囊卵巢综合征患者是不是生完孩子就可以不用治疗了?
首先,多囊卵巢综合征患者并不会在生完孩子后自愈;其次,如果多囊卵巢综合征不治疗,远期会发生:II型糖尿病、高血压、心血管疾病及子宫内膜癌等。所以千万不要为了省点儿卫生巾而忽略了多囊卵巢综合征终生治疗。
小珍因为患了多囊卵巢综合征不能排卵,所以才无法怀孕,也不会有规律的月经来潮。 听了周医生的讲解,小珍表示愿意配合治疗。通过饮食指导配合运动,6个月以后小珍的体重减了20kg ,皮肤也细腻了,浑身散发着女性的魅力。在第7个月,小珍自如怀孕了,一家人开心极了。
周爱枝
副主任医师
硕士研究生
专家门诊:每周二上午
浦东新区优秀青年医学人才,从事妇产科工作17年
擅长:妇科内分泌疾病、不孕症、盆腔脏器脱垂疾病的诊治及各种宫腹腔镜手术。
女性生殖内分泌代谢综合门诊
生殖内分泌代谢多学科综合门诊挂号方式:关注“上海市浦东新区人民医院”微信公众号☞点击“服务大厅”☞专家预约☞多学科综合预约☞科室选择为妇产科☞女性生殖内分泌代谢多学科综合门诊☞选择您想预约的时间即可!
诊治范围包括:
●各种内分泌代谢疾病所导致的不孕不育或月经紊乱;
●各种妊娠期内分泌代谢异常,妊娠期糖尿病、妊娠期甲状腺功能评估及调整;
●其他各种女性内分泌疾病,如多囊卵巢综合征、围绝经期综合征、高雄激素血症、高泌乳素血症等;
●女性卵巢功能低下,卵巢功能早衰、性早熟、真假两性畸形等。

| 留言与评论(共有 0 条评论) “” |