近日来,随着防疫政策的调整,人群中大量阳性病例在增加。所幸的是,大多数人的症状都不太重,至少没有生命危险。

然而,这个病对老弱人群还是有相当大威胁的。再次叮嘱大家:一定不要放松警惕!尤其家里有老人的,更要万分注意。老年人体质弱,可能经不起折腾。
“在脆弱人群中,10%因新冠重症,90%是因基础疾病重症,两个重症放在一起构成了新冠重症疾病谱,这一点让我们未来的救治思路变得越来越清晰,如果出现一定程度的医疗资源挤兑,奥密克戎导致的死亡率会增加,尤其是老年人的病死率就会上升,因此保护老年人、基础疾病患者等脆弱人群非常重要。”张文宏说。
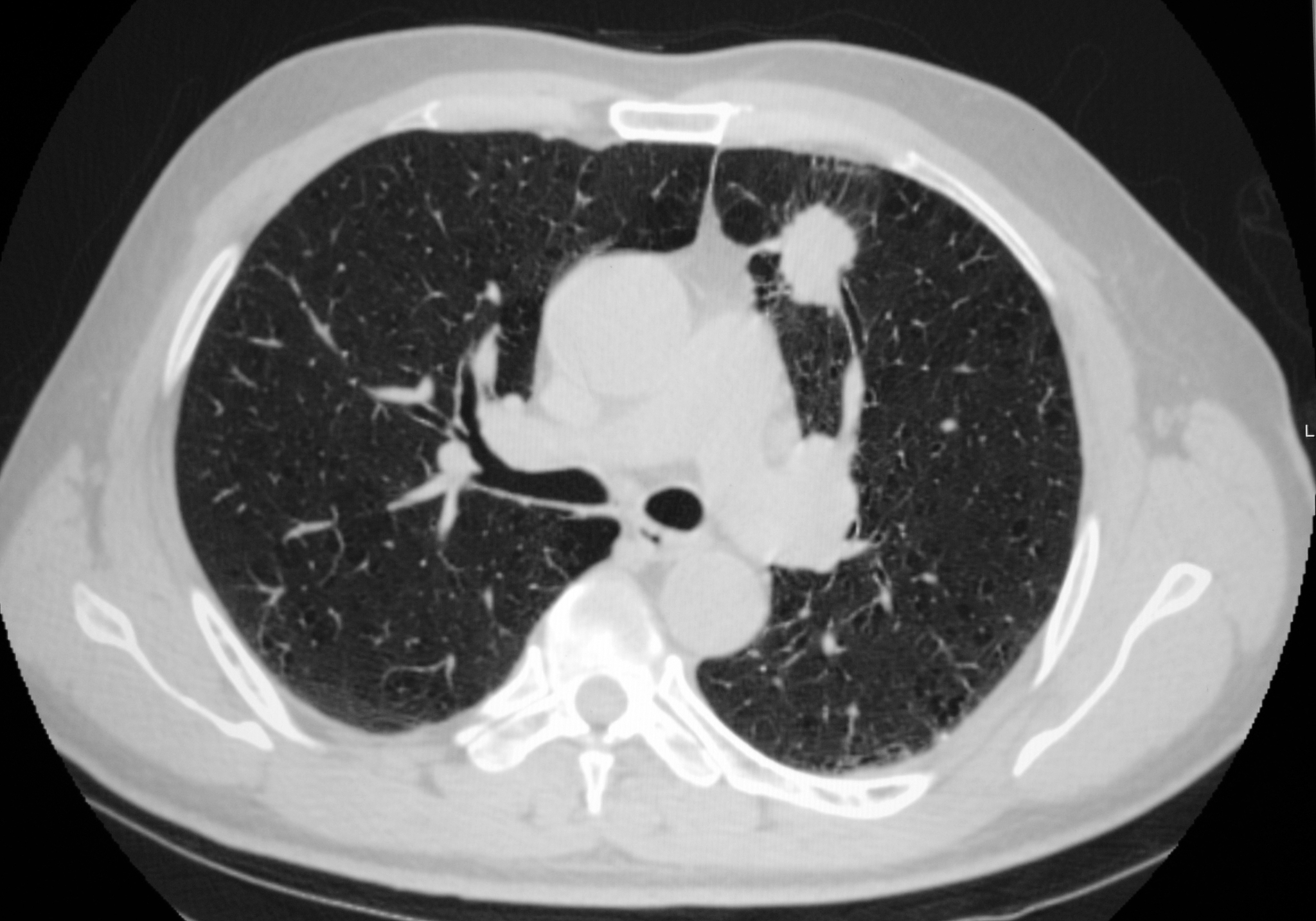
最近,多例“白肺”病例的出现让人们再度看到了这个病毒的厉害,也让大家产生了深深的担忧。

“白肺”也叫急性呼吸窘迫综合征(ARDS),一般指重症肺炎患者在X光或CT检查下的表现,肺部显影呈一大片的白色状而得名。临床表现为胸闷气短、呼吸不畅,白肺患者的血氧饱和度较低,因此会导致严重缺氧的结果。
尽管国家卫健委已经将新型冠状病毒肺炎更名为新型冠状病毒感染,但这个病毒对肺部造成的伤害也许是永远忘不掉的。
那么,这个病毒能不能导致“白肺”呢?
目前还没有答案。
但有一点可以确定的是,在新冠病毒对呼吸系统造成影响的情况下这些“白肺”病人将十分危险!这就像一个几乎就要决堤的大坝,水位再上涨那么一点点就会出现决堤。因此,一定要早发现早治疗。

然而,这些老年人由于长期患有心肺方面的疾病,对低氧血症反应就很迟钝。正常人血氧低于90%都受不了,而他们甚至能耐受70%的血氧。这种缺氧了也没有异常表现的情况,就是最近热议的“沉默性缺氧”。也正因为此,这些人一旦感染新冠病毒就有可能出现危及生命的情况。
对于这种病人的抢救,我们有一点需要提醒:切勿着急,要循序渐进改善。否则,可能出大事!
为什么这么说?
这就要从呼吸中枢反射来分析:正常情况下,缺氧可引起呼吸加深加快。其原因,是由于血氧分压的降低刺激颈动脉体和主动脉窦的化学感受器,反射性的引起了呼吸的加深加快。另外,二氧化碳通过两种途径刺激呼吸,一种是刺激中枢化学感受器重新兴奋呼吸中枢,另一种是刺激外周化学感受器,冲动通过窦神经和迷走神经传入延髓呼吸核,使呼吸反射性加深加速,增加肺通气,增强呼吸。
因此,如果上来就给予高流量的纯氧抢救,很有可能直接打破呼吸中枢反射而导致自主呼吸完全消失。
如果有呼吸机,也不是大问题。更可怕的问题是“二氧化碳排出综合症”。

通过急速排出二氧化碳可导致低二氧化碳血症表现,并较一般的低二氧化碳血症所致者更严重,表现为血压骤降、脉搏减弱、呼吸抑制或呼吸恢复延迟、意识障碍等征象,即为二氧化碳排出综合征。
“白肺”患者,由于二氧化碳蓄积和PaCO2升高已持续很久,呼吸或循环中枢对二氧化碳的兴奋阈值已逐渐提高。一旦二氧化碳迅速排除,呼吸或循环中枢失去较高兴奋阈值PaCO2的刺激,很容易出现周围血管张力减弱,血管扩张,心输出量锐减,脑血管和冠状血管收缩。加上这类患者通气不良导致的代谢产物堆积,循环是一个大问题。严重者,可很快出现心律失常,甚或心脏停搏。
因此,应在二氧化碳分压监测的情况下逐步改善呼吸功能,切不可操之过急!
互通有无,共筑坚固防线,早日战胜疫情!
作者:老杨叨叨
【温馨提示】点个关注,这里有大量专业的医学科普,为您揭秘手术麻醉的那些事儿~
| 留言与评论(共有 0 条评论) “” |