文/羊城晚报全媒体记者 张华 通讯员 伍晓丹 韩羽柔
图/医院提供
日前,国家癌症中心发布了2022年全国癌症报告,肝癌发病率位居第4位,但死亡率高居第2位——我国肝癌患者五年生存率仅12%。这是因为许多患者初次确诊时,就已是中晚期。
来自广西的老吴就经历了这样一次“至暗时刻”——晚期肝癌,预计生存期仅剩半年。然而,靶向、免疫药物等转化治疗,让不能接受手术的老吴接受了手术,这让一切有了转机。近日,老吴在南方医科大学珠江医院复查,结果显示,术后一年,各项指标良好,连预防复发的免疫+靶向药都可以停用了。

老吴晚期肝癌治疗一年病情好转
六旬阿叔突然确诊肝癌晚期
58岁的老吴是广西一名乡镇基层干部,2019年下半年开始腹部疼痛,吃了药有好转。几个月后开始脸色蜡黄,但因新冠疫情,他一直没去医院检查。2020年3月,突然暴瘦和吃药都无法缓解的腹痛,让老吴有点慌了。
远在外地的女儿得知消息立即赶回去,带老吴到南宁检查,当时身高1.75米的他瘦得体重只有110多斤,憔悴不堪。辗转几个科室,最终的结果让父女俩震惊——肿瘤指标甲胎蛋白高达2000μg/L(正常参考值
不愿放弃希望的他们,一边介入治疗,一边到处寻求其他治疗机会。经多方打听,2020年4月底,老吴进入南方医科大学珠江医院肝胆二科副主任潘明新教授诊疗组,开始接受肝癌全面系统治疗。

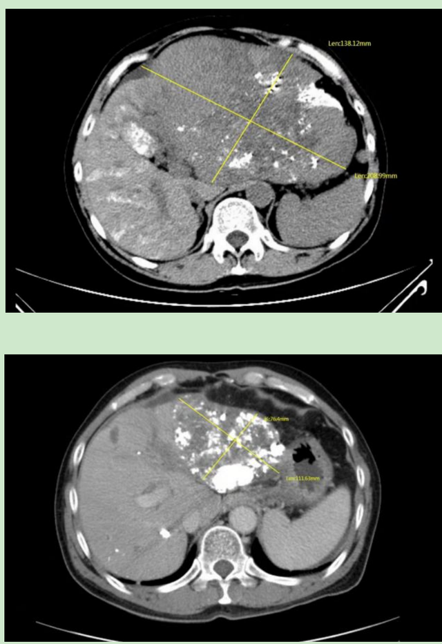
经过多次调整治疗方案,患者肿瘤缩小至原肿瘤的一半
4次调整治疗方案赢得手术机会
从“没有手术机会、预计只剩半年”,到“顺利手术,术后1年多复查正常”,老吴的人生,经历过黑暗和黎明。而这两年多以来的治疗结果好转,是医生在个体化治疗方案上的探索与创新,更是患者一家的信任与配合。
多种治疗手段联合,把没有手术机会的肿瘤转化为可手术,这是肝胆二科潘明新教授、付顺军教授、何国林与蔡磊医生团队制订方案的重点。潘明新教授对记者说:“一方面是靶向药物与免疫药物这两种系统治疗手段的强强联合,另一方面是肝动脉介入栓塞(TACE)或肝动脉灌注化疗(HAIC)等局部治疗手段。”

肝癌转化治疗需要多学科协作 图/视觉中国
“我们根据患者病情变化,先后有针对性地调整了4次治疗方案”,付顺军教授表示,“手段很多,关键是个性化排列组合使治疗效果最大化。”
肿瘤相关指标的不断好转,让老吴越来越有信心。经过1年治疗,2021年4月复查结果显示,老吴甲胎蛋白从最高16950μg/L降至8.1μg/L,肝左叶肿物明显缩小,双肺多发小结节以及上纵膈、腔静脉后增大的淋巴结也都明显缩小,这意味着老吴的手术机会来了。
2021年4月27日,潘明新教授团队为老吴顺利实施左半肝切除+胆囊切除+门静脉切开取栓术。术后维持免疫+靶向治疗防止肿瘤复发,期间定期复查。
近日,老吴再次收获医生的好消息——身体各项指标维持良好,免疫+靶向药物也可以停用了。
肝癌转化治疗需要多学科协作
“像老吴这样,肿瘤经过介入、放化疗、靶向治疗、免疫治疗后缩小,使原本无法切除的变成能够切除,大大延长患者无进展生存期以及总生存期,我们称为转化治疗。”付顺军教授表示,中国肝癌病人的总体生存较差,重要原因是首诊时中晚期肝癌病人的比例很高。约80%的肝癌患者确诊时即已丧失手术机会,因此,转化治疗成为肝癌系统治疗性的一个重要亮点,使没有手术机会的中晚期患者重新获得了生存希望。
据了解,由中国抗癌协会肝癌专委会转化治疗协作组发起、肝癌领域多学科专家共同起草的《肝癌转化治疗中国专家共识(2021)》已于2021年底发布,为规范化的肝癌转化治疗提供了路径和指南。
来源 | 羊城晚报·羊城派
责编 | 王沫依
校对 | 李红雨
| 留言与评论(共有 0 条评论) “” |