长江日报大武汉客户端7月7日讯 小伙儿意外发现肺部“团块影”,抱着“没有消息就是好消息”的心态,拒绝进一步检查。4个月里,外科医生蒋钰辉对他及家属进行了十余次劝说才做通工作。最终,穿刺结果证实“团块”为腺癌,外科团队马上为他安排了手术治疗。

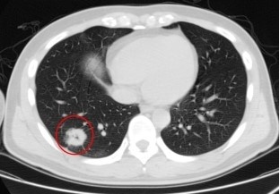
小刘肺上的“疑团”。通讯员张全录 蒋钰辉 摄
35岁的小刘年初发现右侧颈部鼓起一个包块,不痛不痒,触摸之下会来回活动,后来在武汉市肺科医院检查诊断为淋巴结结核病,需要手术治疗。不料,术前常规检查中,小刘又被发现肺上有一个“团块影”。医生按照常理推断,肺结核可能性大,然而术后小刘继续服用抗结核药物治疗肺上团块,却未见奏效。
随后,外科专家根据相关检查结果研判,一致认为肺癌可能性大。想要明确诊断,需要对小刘进行穿刺活检。听闻肺上可能有不好的结果,小刘心存恐惧,抱着“没有消息就是好消息”的心态,拒绝进一步检查。

外科团队为小刘实施手术。通讯员张全录 蒋钰辉 摄
蒋钰辉医生如坐针毡,若耽误下去,手术时机可能慢慢耗尽。“清廉医院”建设要求一切以患者利益最大化为准则,蒋钰辉主动找家属劝,找小刘谈,一晃4个月过去了,他的医者仁心最终打动家属和小刘,他们同意直接手术。
7月5日上午,小刘的手术顺利实施,术中病理结果显示为肺腺癌,且已有淋巴结转移,临床分期为早中期。蒋钰辉说,结核病与肺癌在同一患者身上,常发生着各种联系,要么因结核炎症反复刺激而演变为肺癌,要么与结核病并存,却被结核症状掩盖。因此,肺上出现异常,不能讳疾忌医,只有正视现实,才能第一时间把握治病先机。(长江日报记者武叶 通讯员张全录 蒋钰辉)
【编辑:余丽娜】
更多精彩内容,请在各大应用市场下载“大武汉”客户端。
| 留言与评论(共有 0 条评论) “” |