*仅供医学专业人士阅读参考

mCRC多线治疗兼顾生存期与生活质量,旨在追求活得更久、活得更好
据调查统计,在中国有83%的结直肠癌(CRC)患者确诊时已属于中晚期,其中44%的患者已经出现了肝、肺等部位的转移[1],而转移是导致CRC患者死亡的主要原因[2]。近年来,随着新型药物的不断研发、联合方案的持续探索及二代基因测序(NGS)的出现,越来越多疗效好、副作用小的药物成为转移性结直肠癌(mCRC)患者个体化、精准化的综合治疗新选择,晚期CRC患者的生存期得以不断延长。部分患者甚至有机会能够接受五线乃至六线的治疗。目前,后线治疗也越来越注重患者的生活质量,追求患者活得越久的同时,活得越好。
目前,肿瘤的规范化、全程化、个体化及精准化治疗观念逐渐深入人心,切实给越来越多的患者带来生存获益,但国内不同区域、不同医疗机构间肠癌诊疗水平还存在着一定差异。借此契机,中国临床肿瘤学会结直肠癌专委会与和黄医药携手举办2022年“优YOUNG好医声——晚期结直肠癌全程管理病例演讲”活动。过程中,来自多个地市的不同医院医生带来晚期CRC经典病例分享,专家学者与临床一线医生共同分析临床实际案例中所带来的经验与反思,为后续CRC诊疗提供一定借鉴和参考。演讲活动期间,来自沪闽赣站的上海市东方医院海亚楠医生,带来了“呋喹替尼在KRAS G12V直肠癌二线治疗探索:PFS QoL,相生相伴?”的病例,分享了在这例六线治疗CRC患者的治疗过程中,她如何同时保障患者在长生存期中兼顾患者生活质量。
案例回顾
基本情况
女性患者,64岁;
现病史:2015年1月28日患者外院确诊直肠癌行直肠癌根治术,术后病理提示:低-中分化直肠腺癌,切缘(-),淋巴结:0/5枚;2015年7月12日其出现肝脏新发病灶,行XELOX(奥沙利铂+卡培他滨)化疗8周期;2016年11月,患者肝脏病灶进展,遂来我院就诊;
既往史、家族史无特殊;
诊疗经过
2016年11月,患者入院后经评估,肝脏病灶可切除,完善术前相关检查,排除手术禁忌,行肝脏病灶切除术;术后建议患者完善术后辅助治疗,患者处于无疾病状态(NED),且患者鉴于之前化疗不良反应严重,强烈拒绝术后化疗;
术后病理提示:肝右叶转移性直肠腺癌,符合直肠腺癌肝转移。Her-2(1+),MSS,KRAS第2外显子突变;
2018年4月,患者出现肺部新发病灶,完善术前相关检查,排除手术禁忌,患者行胸腔镜下右上肺楔形切除术,术后患者再次拒绝化疗;
术后病理提示:双肺转移性直肠腺癌,符合直肠腺癌肺转移。IHC:CK7(-),TTF-1(-),Napsin-A (-),CK20(+),CDX-2(+),Villin(-),Ki67(60%+);
疾病诊断
直肠低-中分化腺癌,微卫星稳定(MSS);
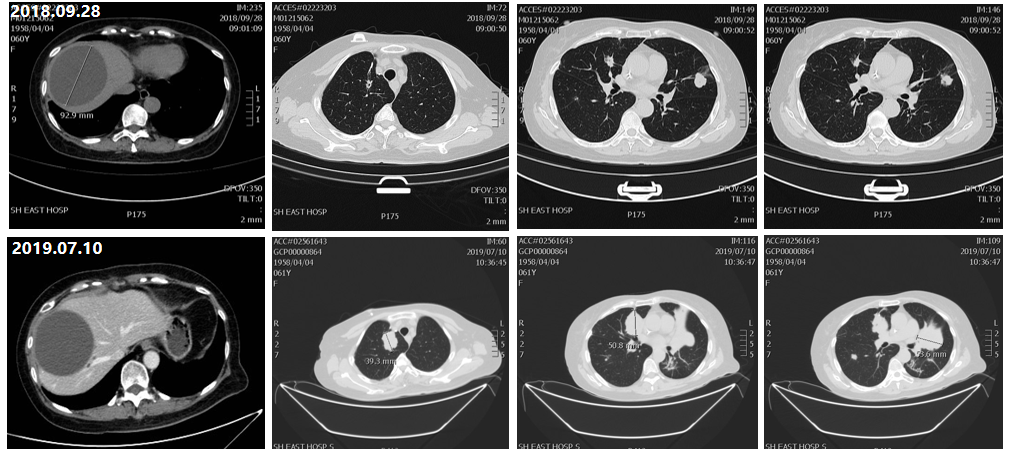
一线治疗(2018年6月10日——2019年7月10日)
治疗评估:2018年6月10日,患者双肺部再次出现多发病灶,患者起初拒绝化疗,在当地医生及患者家属强烈建议下,患者接受化疗治疗;
治疗方案:行贝伐珠单抗联合FOLFORI(伊立替康+氟尿嘧啶)方案8周期,后行贝伐联合伊立替康维持治疗;
疗效评估:2019年7月患者双肺病灶及肝脏病灶出现增大,提示疾病进展(PD);

图1 一线治疗CT影像对比
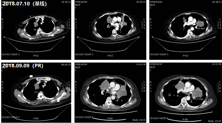
二线治疗(2019年7月——2020年8月)
治疗评估:考虑肺转移病灶引起阻塞性肺炎的可能,为减轻患者胸闷、气促的症状,二线治疗建议患者继续行“强化疗”方案,由于患者在既往化疗中有严重的胃肠道反应,强烈拒绝化疗方案;
治疗方案:口服呋喹替尼治疗;
疗效评估:患者口服呋喹替尼后,肺部及肝脏的病灶缩小,后病灶缓慢增大,共获得13个月无进展生存期(PFS)。直至2020年8月双肺病灶出现增多增大,肝脏出现新发病灶,提示PD;


图2 二线治疗CT影像对比
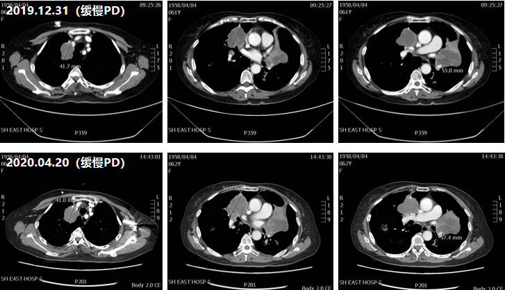
三线治疗(2020年9月-2021年10月)
治疗评估:由于口服靶向单药治疗方案再次出现PD,鉴于既往化疗治疗的有效性,建议患者三线治疗再次选用联合化疗治疗方案;
治疗方案:行贝伐珠单抗联合FOLFOX(奥沙利铂+亚叶酸钙+氟尿嘧啶)方案6周期;
疗效评估:患者在治疗过程中肺部病灶缩小,肝脏病灶保持稳定,直至2021年10月双肺出现多处新发病灶,肝脏病灶出现增大,提示PD;

图3 三线治疗CT影像对比
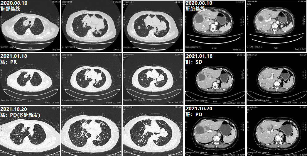
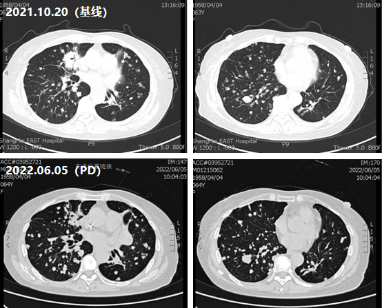
四线治疗(2021年10月——2022年6月)
治疗评估:鉴于患者使用含奥沙利铂化疗后再次PD,既往伊立替康化疗有效,建议患者再次使用伊立替康;
治疗方案:贝伐珠单抗联合FOLFORI方案;
疗效评估:2022年6月5日,患者肺部病灶再次出现增多,提示PD;

图4 四线治疗CT影像评估
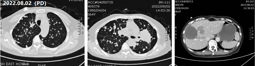
五线治疗(2022年6月——2022年7月底)
治疗评估:鉴于患者化疗后再次PD,后线治疗缺少更优方案,仍继续使用四线治疗方案;
治疗方案:贝伐珠单抗联合FOLFORI方案;
疗效评估:2022年8月2日,患者肺部及肝脏病灶再次出现增多增大,提示PD;

图5 五线治疗CT影像评估
六线治疗(2022年8月——病例汇报时间)
治疗评估:不幸的是,五线治疗不足两个月,患者在治疗过程中出现了Ⅳ度骨髓抑制,合并粒细胞缺少伴发热症状,患者无法继续耐受化疗方案,寻求其他“去化疗”治疗方案;
治疗方案:呋喹替尼联合信迪利单抗治疗;
疗效评估:截至病例汇报时间,患者肺部及肝脏病灶处于稳定,提示疾病稳定(SD);
专家点评
指导老师:同济大学附属东方医院 高勇教授
专家点评:复旦大学附属肿瘤医院 彭俊杰教授
导师高勇教授表示肠癌多线治疗中化疗“轮番上阵”,导致药物毒性的累积,患者在化疗期间,不良反应明显,伴随患者生活质量降低,引发患者对化疗的强烈抵触。一线治疗进展后,患者治疗依从性较差,对于治疗方案的选择存在一定自主性。在患者二线治疗中,医生在遵循指南基础上,结合患者目前的疾病症状,建议患者行“强化疗”的治疗方案,但遭到了患者强烈拒绝。医生根据目前药物的可及性,个性化地在二线治疗中为患者选择了线数前移的口服呋喹替尼单药方案,为患者带来13个月的生存获益,期间未发生任何不良反应。也是基于这13个月的“化疗假期”,患者获得了罹患肿瘤以来具有优质生活质量的生存期,也为后续患者继续使用“强化疗”进行抗肿瘤治疗奠定了良好基础。
来自复旦大学附属肿瘤医院的彭俊杰教授对该患者治疗方案的选择也进行了精彩点评:目前在晚期CRC的治疗中,临床医生和患者在追求长生存期的同时,也越来越重视提高晚期CRC患者的生活质量。呋喹替尼自2018年FRESCOⅢ期研究[3]数据发表以来,被证实了良好的疗效和安全性。基于FRESCO研究,一项质量调整的无症状/毒性生存时间(Q-TWiST)的分析研究显示,呋喹替尼显著延长患者约2.16个月的无症状和无不良反应生存时间,同时,呋喹替尼组在延长晚期CRC患者高质量生存期方面的有效性比安慰剂组高16.7%-39.9%[4]。该研究证实了呋喹替尼为晚期CRC患者带来有质量的生存获益,延长患者生存期的同时,保障患者良好的生活质量。该病例的患者经历了多线治疗,且仍在持续获益,反映了当前晚期CRC的治疗愈发趋于“慢病管理”方向发展,同时也是晚期CRC患者追求长生存、高质量生活的佐证,为后续相似病例治疗提供借鉴经验。
案例精要
该病例是一例直肠低-中分化腺癌(Ⅳ期),MSS型患者。从初诊行直肠癌根治性手术后复发的诊疗过程,患者中间历经了六线治疗,至今已经超过7年半的时间。在患者的姑息治疗中,除二线及六线治疗方案,余治疗方案均使用联合化疗方案。在初始治疗中,患者化疗的不良反应大且对化疗具有强烈排斥,故二线治疗为患者选用了不良反应较小的呋喹替尼单药治疗方案,获得了13个月的PFS。也正是这段“去化疗”的治疗阶段,赢得了后续治疗的依从性,患者三线及后续的治疗中,持续使用联合化疗方案,共为患者争取了近22个月的PFS,直至患者无法再耐受化疗。目前患者在使用靶向治疗联合免疫治疗,再次选择“去化疗”方案,同时是对后线治疗的新探索,也期待患者还能够在该治疗中有更优、更持久的生存获益。

图6 患者诊疗进程示意图
参考文献:
[1].北京爱谱癌症患者关爱基金会、北京协和医学院公共卫生学院《中国中晚期结直肠癌患者诊疗现状调查》
[2].Pedziwiatr M, Mizera M, Witowski J,et al. Primary tumor resection in stage IV unresectable colorectal cancer: what has changed? Med Oncol. 2017 Oct 30;34(12):188.
[3].Li J, Qin S, Xu RH, Shen L, Xu J, et al. Effect of Fruquintinib vs Placebo on Overall Survival in Patients With Previously Treated Metastatic Colorectal Cancer: The FRESCO Randomized Clinical Trial. JAMA. 2018 Jun 26;319(24):2486-2496.
[4].Qin S, Li J, Bai Y,et al. Quality-adjusted survival in patients with metastatic colorectal cancer treated with fruquintinib in the FRESCO trial. Future Oncol. 2021 May;17(15):1923-1931.
*此文仅用于向医学人士提供科学信息,不代表本平台观点


| 留言与评论(共有 0 条评论) “” |