先天性胆道闭锁是严重威胁婴幼儿生命的胆道梗阻性疾病,发病率为1/5000-1/10000,如不及时治疗,患儿常于2岁内因肝功能衰竭而死亡。葛西手术虽然是治疗胆道闭锁的首选手术方法,但却不能圆满解决患儿自体肝生存中出现的各种问题。据文献报道,葛西手术后肝内胆管扩张的发生率约为4%-25%。
首都儿科研究所普通(新生儿)外科针对胆道闭锁葛西手术后肝内胆管扩张伴有反复的胆管炎、保守治疗效果不佳的患儿,进行二次葛西手术,行肝管扩大成形,肝门空肠吻合术,从而使肝内胆管扩张得以缓解,胆汁引流通畅,延长自体肝生存时间。截止目前已有25名先天性胆道闭锁患儿因此重获新生。
久久(化名)出生后得了“黄疸”,一直在当地医院进行蓝光治疗,但始终不见好转,从县医院转到市医院,又从市医院转到了省医院,原本的“新生儿黄疸”,最后确诊为“先天性胆道闭锁”。
医生告诉家长:“胆道闭锁是孩子的胆道在发育过程中发生了纤维化,没有了管腔结构,胆汁没办法排出,从而导致肝硬化,危及生命。这个病可以通过葛西手术,也就是肝门-空肠吻合术,引流出肝脏内残留胆管分泌的胆汁,从而达到退黄、缓解肝损伤的目的。但即使这样,患儿的肝脏仍然会持续硬化,大约三分之二的患儿需要在10岁以内通过肝移植才能挽救生命”。
了解到这些情况,久久妈妈像是被打入了“地狱”,看着怀中正在微笑的久久,她选择全力以赴给孩子治病。
久久两个月大时,在当地医院进行了葛西手术。他很幸运,手术非常顺利,没有其他并发症,术后半个月就出院回家了。虽然术后每天都要给孩子喂药、测体温,担心出现胆管炎,但久久妈妈却说:“孩子出院后的那段时间是我最幸福的日子,看着黄疸一点点的退去,我知道光明就在眼前”。
久久术后一个半月,就变得白白胖胖了。正当全家人以为病魔退却的时候,久久却再次出现了黄疸,反复高热,大便又变白了,可怕的胆管炎出现了。
胆道闭锁病因多种,葛西手术需要用一段肠管代替胆道引流胆汁,肠道内的细菌会进入肝脏,从而引发胆道发炎。每次胆管炎都会加重肝脏的损伤,而胆管炎控制不了,就要提前进行肝移植,因此胆管炎是笼罩在每个胆道闭锁患儿父母心中的阴霾。
久久父母只得再次带着孩子踏上征程,当地医院给予了美罗培南加激素冲击治疗,但效果不理想,转氨酶和感染指标进行性升高,超声提示:“肝内胆管扩张,考虑是难治性胆管炎”。在多家医院进行抗炎治疗4个多月,胆管炎依旧没有得到控制,所有的医院都建议“只能等待肝移植”。
不甘心放弃的家长选择来北京,“首都儿科研究所是最后一站,如果还不行,我们只能放弃了”,久久妈妈说。
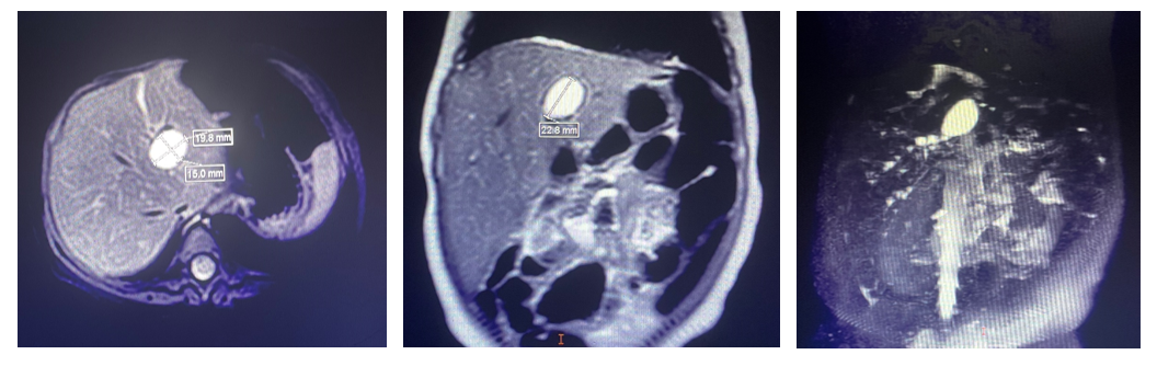
住进普通(新生儿)外科病房后,医生为久久完善了检查,磁共振胰胆管造影显示:肝门区见类圆形异常信号灶,2.3×2.0×1.6cm,右侧见多个小圆形异常信号灶。这些扩张的胆管,提示着因为反复的胆管炎症导致远端原本通畅的胆道变得狭窄甚至闭锁了。
“再做一次葛西手术,先将阻塞或狭窄的胆管切开找明原因,再将扩张胆管内的胆汁引流出来,就可以解决这个问题了。”经过科室讨论,李龙主任医师将手术方案告知家长,没想到久久妈妈不假思索的同意了。原来在没有入院前,家长就打听到首都儿科研究所通过二次葛西手术成功救治过好几个和久久一样的孩子,他们把全部希望都“押”在了这次手术上。

二次手术前MRI、MRCP结果:肝门区见类圆形异常信号灶;右侧见多个小圆形异常信号灶
手术当天,久久妈妈泪眼婆娑,紧紧抱着孩子,但想到这也许是孩子经历的最后一次劫难,难以放开的手也慢慢放开了,她不舍而又坚定地看着久久被推进手术室。
二次葛西手术(肝门-空肠吻合术)的难度比第一次大很多,因为之前的葛西手术导致了腹腔肠管和肝门部组织粘连紧密,稍有不慎,就有大出血的可能,经过1个小时的细心分离,李龙主任医师在门静脉左支内侧上方找到了扩张的左肝管,直径约2cm,切开后,绿色泥沙样的胆汁流了出来,找到“元凶”后,重新进行了肝门-空肠吻合,手术顺利结束。
术后,久久妈妈只是在看到孩子推出手术室时闪过一丝笑容。她很清楚,手术成功并不代表孩子的黄疸能够退去。但随着一次次复查,她的笑容一次次的多了起来。久久的肝功能明显好转,直接胆红素较前明显下降,大便转为黄色。术后一周复查超声:“肝内胆管可见轻度扩张,宽约0.29cm”。一周后,久久顺利出院。术后3个月,久久回医院复查,所有指标完全正常,而且没有出现发热、白便。
妈妈放开了紧紧牵着孩子的手,也松开了紧紧揪着的心,看着久久自己独自蹒跚前行,她知道,这一次,光明终究是来了。

术后生化指标变化,ALT:谷丙转氨酶(U/L),AST:谷草转氨酶(U/L),TB:总胆红素(ummol/L),DB:直接胆红素(ummol/L);GGT:谷氨酰转肽酶(U/L)
文 | 耿园园、叶茂、李旭
编辑 | 宣传中心
| 留言与评论(共有 0 条评论) “” |