首页
科技
娱乐
汽车
体育
财经
军事
美食
历史
育儿
国际
旅游
情感
故事
美文
首页
科技
娱乐
汽车
体育
财经
育儿
国际
军事
美食
历史
旅游
情感
评论
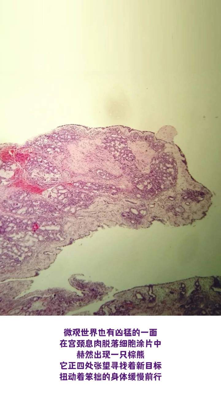
惊艳!显微镜下的人体细胞原来这么美
科技
07-21
来源: 浙江日报
浙江新闻客户端 记者/制作 郑文 通讯员 谢晨 章柯梦
的人
体细胞
惊艳
发表评论
留言与评论(共有
0
条评论) “”
验证码:
相关文章
不少人聋了才后悔:有这个习惯的人要
孟子:人活一世,修好四颗心
惊艳!Alibaba最新发布「10亿级并发
视频丨兰州,兰州
这个夏天,验瓜师火出圈!一天验瓜1200
罗晋接受《环球时报》专访:用不同角
网友投稿
普通会员
我还没有学会写个人说明
238232 篇文章
7913345 次浏览
最近文章
那天上课,我发现女同桌竟将手机调成震动夹在大腿根处
投诉西安大唐医院医疗欺诈 希望大家注意 避免上当受骗
西安莲湖大唐医院黑心骗子高昂收费不说 病情治疗不彻底医生无德 大家小心千万不要去
曝光夸大病情恐吓患者治疗 西安大唐医院就是黑心骗子医院 医生态度极其恶劣
一招教你手机无限制成为一台新设备
《心跳文学部》是一款什么样的游戏,为什么在国内被禁?
日本福井SKIJAM胜山滑雪度假村14日开放 力争19.8万人次到场
长江文化旅游博览会举办
英超:切尔西胜热刺
文化和旅游部:变更个别国家级文化生态保护区
推荐文章
最热点击文章
《心跳文学部》是一款什么样的游戏,为什么在国内被禁?
一招教你手机无限制成为一台新设备
42000颗星链计划对人类会产生什么影响?为什么有科学家反对?
“长征5号B遥一火箭”是什么意思?一文看懂火箭命名规则
火箭:我要飞……………………………得更高!
母螳螂为什么以丈夫为食,丈夫受到攻击时不跑,是因为爱情吗?
航天小姐姐们,最美的节日祝福送给你们……
人类为什么不再登月?美国宇航员在月球上看到了什么?
热门标签
[db:关键字]
中国
自己的
美国
都是
的是
三星
的人
手机
华为
这款
车型
小米
日本
俄罗斯
荣耀
万元
游戏
亿元
本文