*仅供医学专业人士阅读参考

全身治疗联合局部治疗,帮助转移性乳腺癌患者控制疾病进展,实现长期生存。
撰文 | 小驰
据统计,在乳腺癌进展过程中,约15%~30%的患者会出现脑转移,且随着乳腺癌生存期延长,脑转移的发生率随之增加[1],为临床诊疗带来了新的难点与痛点。在由北京市希思科临床肿瘤学研究基金会、中国临床肿瘤学会(CSCO)和东方临床肿瘤研究中心(ECCO)主办,医学界传媒独家协办的“百‘例’挑一”大型病例征集活动”中,湖南省肿瘤医院田璨医生带来了一则典型的HER2阳性转移性乳腺癌病例,通过详述患者的十年经历,为观众分享其诊疗经验和心得体会。
病历资料
患者信息:董XX,女,现年43岁,未绝经,无肿瘤家族史。
诊疗经历:
一线治疗
2012年8月,因“左乳肿块”在外院行左乳癌改良根治术。术后病理显示,患者左乳浸润性癌,肿块大小17×15×5cm3。腋下淋巴结8/16可见癌转移,皮肤及基底边缘未见癌侵犯。IHC检查显示:ER(-)PR(-)CERBB-2(++),FISH未检测。
诊断为左乳癌pT1N2M0 Ⅲa期浸润性癌,HR-/HER-2 2+,FISH状态不明。
2012年8月至12月,患者于外院接受辅助化疗(TEC方案×6)。
2013年1月至2月,外院辅助放疗25次。
2013年3月,于外院会诊行FISH监测,结果为HER-2阳性。
2013年5月起,患者使用曲妥珠单抗治疗12个月。
2014年5月,于外院行“左乳腹直肌皮瓣乳房重建术”。
二线治疗
2015年4月(即停止曲妥珠单抗辅助治疗后11个月),肺部CT检查显示左下肺新发单个结节,怀疑为左乳癌综合治疗后肺转移或左肺原发性肺癌。于外院行胸腔镜下肺肿块切除术。术后病检表明,肺切面2.5×2×1.5cm3肿块,诊断为转移性乳腺浸润性导管癌Ⅱ级。IHC检测结果为:ER(-),PR(-),cerbB-2(2+),Ki-67(90%+),FISH检测HER-2阳性。
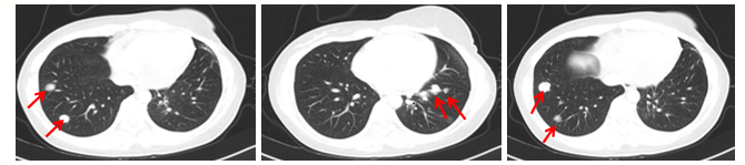
2015年4月至2018年5月,患者使用拉帕替尼+卡培他滨作为二线治疗方案,最佳疗效评估为临床完全缓解(CR),无进展生存期为38+个月,2018年5月停药。

图1 患者在2015年4月至2018年5月期间肺转移灶影像结果
三线治疗
2018年9月(停药4月后),全胸CT检查显示双肺内多发结节影,最大1.2cm。
2018年9月至12月,患者于香港接受恩美曲妥珠单抗(T-DM1)治疗,疾病仍出现进展,PFS为3+月。2018年12月患者接受胸部CT检查显示双肺结节增多、增大,大者2.5cm。

图2 2018年12月,患者胸部CT检查结果
四线治疗
解救治疗:2018年12月至2019年9月,患者使用吡咯替尼+白蛋白结合型紫杉醇。
维持治疗:2019年9月至2020年7月,患者使用吡咯替尼+卡培他滨治疗。最佳疗效为临床CR,PFS为16个月。
五线治疗
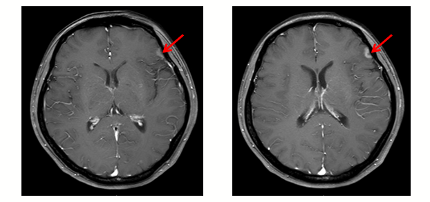
2020年7月,全胸CT显示未见明显转移瘤,脑MR显示左侧额叶新发异常信号结节影,考虑脑转移瘤。在系统治疗方案吡咯替尼+卡培他滨的基础上,对脑转移灶进行立体定向放疗(SRT)。最佳疗效为病情稳定(SD),PFS为2+月。

图3 2020年7月脑MR检查结果
六线治疗
2020年9月,脑MR显示左侧额叶影较前缩小,左侧枕叶新增结节,考虑脑转移瘤。对脑转移瘤进行体部立体定向放射治疗(SBRT),全身治疗方案仍继续使用吡咯替尼+卡培他滨。最佳疗效为病情稳定(SD),PFS为8+月。
七线治疗
2021年3月,脑MR显示左侧额叶影较前增大。经过MDT会诊,结合患者意愿,于2021年5月行脑转移灶手术,术后接受预防性全脑放疗。术后病理结果为乳腺转移性腺癌,ER(-)PR(-)HER-2 3+。
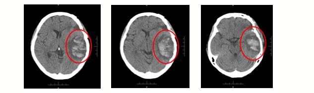
2021年6月,患者接受全脑放疗6次后,出现突发头痛、头晕、嗜睡及失语,急诊脑部CT显示颅内出血,开颅探查,行左颞叶血肿清除术,术后病理未见转移性癌细胞。6月20日起停用吡咯替尼+卡培他滨。

图4 急诊脑部CT示颅内出血
2021年9月,复查显示颅内病灶稳定,肺部未见新发病灶。疗效评估为SD。
2021年9月至2022年4月,继续给予吡咯替尼+卡培他滨,PFS为11+月。
八线治疗
2022年4月,患者无诱因出现恶心、呕吐、间断性头痛,于外院行全胸CT未见明显转移瘤。脑MR显示脑内散在多发强化小结节(部分结节位于脑沟内),考虑转移瘤可能性大。
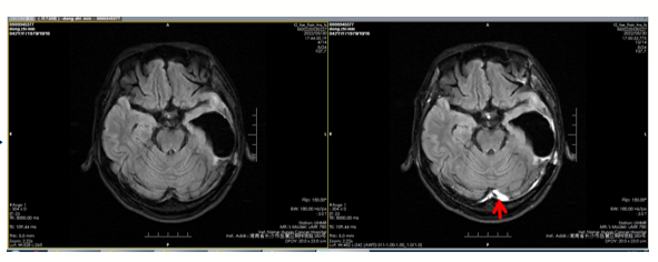
2022年5月至11月,使用T-Dxd治疗7周期。头痛、恶心、呕吐明显好转(1周期后即缓解)。2周期后复查脑部MR显示脑实质内多发强化结节较前明显缩小,目前继续治疗中,PFS>6-月。

图5 T-Dxd治疗2周期后复查显示脑内结节较前缩小

图6 患者十年诊疗经历
讨论
田璨医生指出,该患者前后治疗时间长达十年,过程“峰回路转”,但值得欣喜的是,通过精心地治疗与管理,目前患者生活状况良好。多种新型药物的问世,为HER2阳性的乳腺癌患者带来了丰富的治疗选择和长期生存的希望。在二线及后线治疗中,抗体药物偶联物(ADC)将单克隆抗体的选择性与有效载荷的细胞杀伤特性合二为一,通过靶向化疗的方式将细胞毒性药物释放至肿瘤,为许多患者带来了生存转机。
CSCO 乳腺癌诊疗指南(2022版)HER2阳性复发转移乳腺癌药物治疗[2]

田璨医生认为,对HER2阳性的转移性乳腺癌患者,应该把握以下两项治疗原则:
原则①:早期、足疗程抗HER2治疗,以达到“慢病优治”的目标;
原则②:持续抗HER2靶向治疗,实现长期生存获益。
虽然该病例在长期治疗过程中出现了肺转移与脑转移,但全身治疗与放疗、手术等局部治疗手段的相辅相成,有效地控制了局部转移灶,延缓疾病进展,帮助患者实现了长达十年的生存和生活质量的改善。
在演讲的最后,田璨医生为观众分享了该患者的摄影作品。从这些色彩绚烂的照片中,我们不难看出,在十年抗癌历程中,虽有病情反复、命运坎坷,患者却始终积极乐观,热爱生活。她阳光开朗的心态和积极抗争的精神,也深切地鼓舞着田璨医生:“希望时光慢一点、治疗手段多一点,期待我们的下一个十年。”

图7 患者摄影作品
参考文献:
[1]王文艺综述, 顾军审校. 乳腺癌脑转移的特点及治疗研究进展[J]. 临床肿瘤学杂志, 2022(003):027.
[2]中国医师协会肿瘤医师分会乳腺癌学组, 中国抗癌协会国际医疗交流分会. 中国乳腺癌抗体药物偶联物安全性管理专家共识 [J] . 中华肿瘤杂志, 2022, 44(9) : 913-927.
[3]CSCO 乳腺癌诊疗指南(2022版).
为了能更好地为大家提供更有趣、更有用、更有态度的内容,医学界肿瘤频道欢迎大家动动手指完成以下的调研,题量少、内容简单,只需十秒钟哦~
医生站网页版上线啦!
扫描下方二维码或点击阅读原文
| 留言与评论(共有 0 条评论) “” |